牙髓是維護牙齒健康的重要活組織,蛀牙或牙齒受損都有機會讓牙髓活組織暴露受細菌感染,若感染情況嚴重,目前的治療方法只有把壞死的牙髓組織清除,再用樹脂或黏著劑等人造物料填塞清空的牙根管,受損嚴重的牙齒甚至要拔除。牙齒沒有了牙髓活組織的滋養,日久會脆化碎裂,牙齒也有機會再受感染,最終都可能要把牙齒拔除。
香港大學(港大)牙醫學院的研究人員研發一種讓牙髓組織再生的方法,利用低氧環境激發用作移植的牙髓幹細胞的保護性反應 - 氧化應激反應,用以增強幹細胞移植到牙根管後的適應能力,重新生長成活組織令牙齒回復健康。研究結果剛於學術期刊《牙科研究》(Journal of Dental Research)發表。
牙髓幹細胞一直被認為是可令牙髓再生的重要細胞來源,但由於牙根管被堅硬的牙齒組織包圍,血液供應不足,牙髓細胞長期處於一個低氧和營養不足的狀態,而如何剋服這嚴峻環境,讓移植後的幹細胞成功在牙根管生長,一直是研究人員的挑戰。
港大口腔生物科學助理教授Waruna Dissanayaka博士的研究團隊發現,把牙髓幹細胞誘導進入低氧狀態作預先處理,可提高其移植後的抗損和抗感染能力,增加存活率。
「前人的研究表明,人類的細胞受脫氧核醣核酸(DNA)中的一些關鍵基因調節,具備許多應激適應機制。這些通常都是非活躍基因,若我們能夠激活這些基因,激發其下游的一些特定蛋白質表達,能幫助細胞抵禦損傷。」Waruna Dissanayaka博士解釋說。
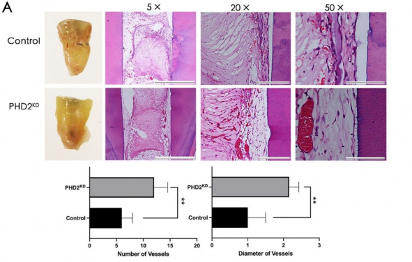
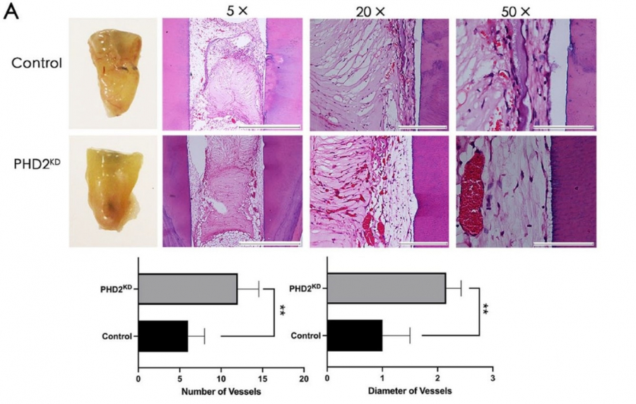
研究團隊利用嶄新手段調整牙髓幹細胞的基因,他們營造低氧環境激發細胞作出保護反應,激發出一種促進血管形成的蛋白質。
研究團隊的共同研究員韓媛媛博士指出:「我們發現,這些細胞在低氧情況下會激活一個代謝機制,從而產生能量並同時清除應激反應中產生的有害代謝物。」
Dissanayaka博士表示:「另外一個正面的反應,是這些經預處理的細胞,能顯著增強再生牙髓組織內具保護作用的硬組織的形成。」
研究團隊獲臨床人工智能研究助理教授Mohamad Koohi-Moghadam博士協助,了解幹細胞在氧化應激反應中那些基因被激活,那些被抑制,並正進一步研究那些幫助細胞抵禦損傷、經上調的下游蛋白質的特徵。
「牙齒幹細胞有天生的能力在應力下(stress)存活。我們的目標是尋找方法,正面激發這種能力,促進牙齒組織再生。」Dissanayaka 博士補充說。
針對研究團隊對能增加細胞存活率的特定基因和蛋白質的發現,Dissanayaka博士計劃進一步研發可臨床應用於組織再生的藥物。他相信這些研究成果,將有助開發提升牙齒幹細胞治療潛力的新策略。
此研究在2022年國際牙科研究協會(IADR)大會獲IADR高露潔預防研究獎((IADR Colgate Research in Prevention Award),並獲香港研究資助局優配研究金資助。
研究團隊
香港大學牙醫學院
首席研究員:口腔生物科學助理教授Waruna L. Dissanayaka博士
共同研究員:
- 應用口腔科學及社區牙科護理博士生韓媛媛博士
- 臨床人工智能研究助理教授Koohi-Moghadam, Mohamad博士
- 應用口腔科學及社區牙科護理博士生陳琪欣博士
- 應用口腔科學及社區牙科護理博士生張麗麗博士
密歇根大學牙醫學院牙周病學和口腔醫學
共同研究員:Hitesh Chopra 博士後研究員
山東大學齊魯醫學院口腔醫學院牙齒矯正科(山東濟南)
共同研究員:張君教授
期刊文章:《牙科研究雜誌》“ HIF-1α Stabilization Boosts Pulp Regeneration by Modulating Cell Metabolism” :HIF-1α Stabilization Boosts Pulp Regeneration by Modulating Cell Metabolism - PubMed (nih.gov)
傳媒查詢:
香港大學牙醫學院高級傳訊主任鄧慧中女士
電話:2859 0494 / 9155 0980或電郵:melodytang@hku.hk