傳媒
香港大學公共衞生學院聯同病理學系
利用「人類呼吸道外植體培養技術」改善治療中東呼吸綜合症 (MERS)
2018年06月05日
香港大學李嘉誠醫學院的研究人員利用其世界頂尖的「人類呼吸道外植體培養技術」研究新興呼吸道病毒,並在最新出版的刊物中發表可用於改善治療中東呼吸綜合症 (MERS) 的研究成果。研究證明結合使用目前已獲得臨床使用許可的干擾素和環孢黴素,較使用單一藥物治療或零治療更能顯著抑制中東呼吸綜合症冠狀病毒在人類支氣管和肺部中複製及造成組織損傷。研究結果已於抗病毒治療領域的權威期刊《抗病毒研究》(Anti-viral Research)發表。(按此瀏覽期刊文章)
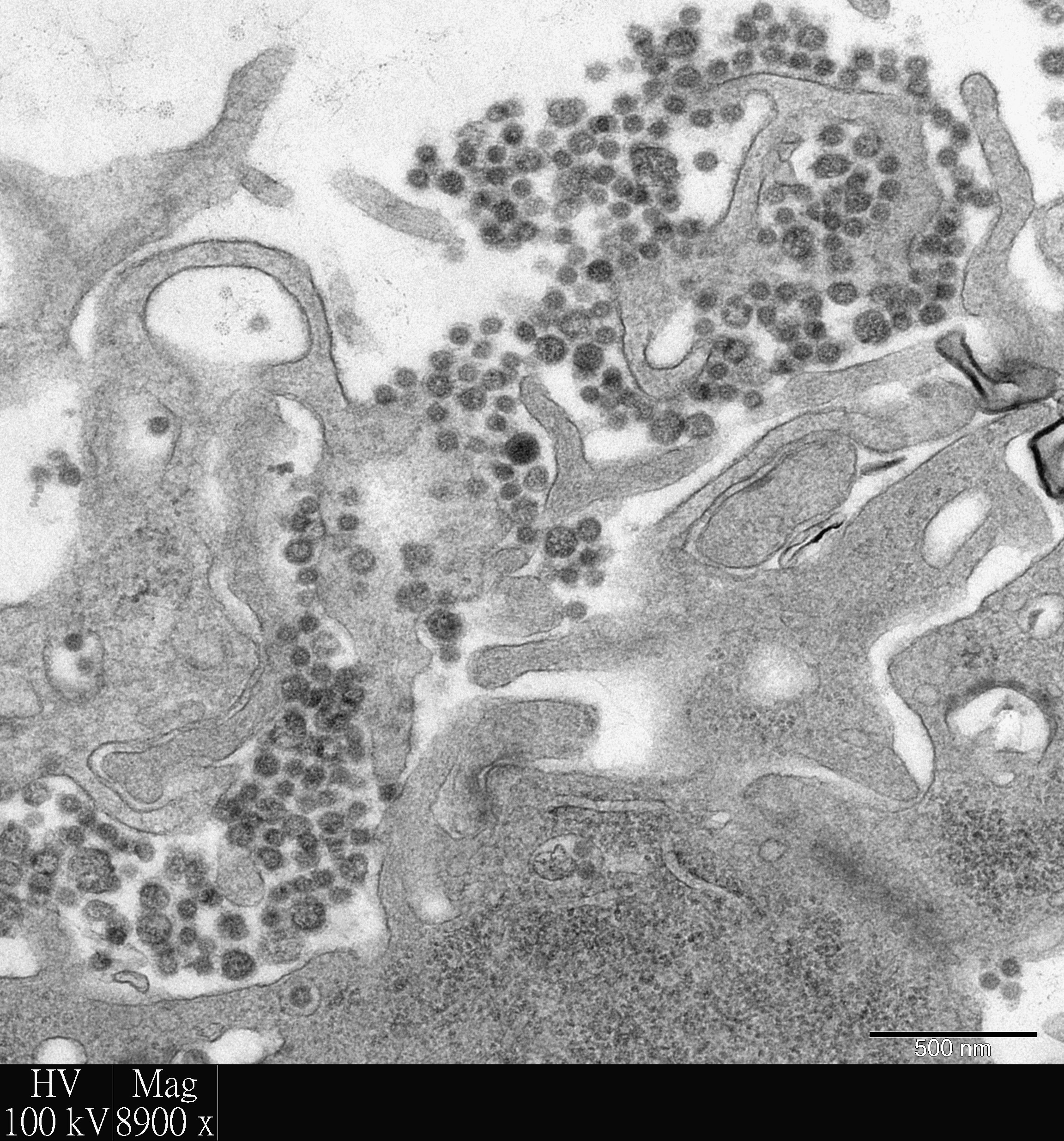
由於過往利用細胞培養技術或實驗動物不能完全真實地呈現人類感染嚴重呼吸道病毒時的情況,香港大學病理學系黎國思教授以及公共衞生學院的陳志偉博士、陳韻怡博士、潘烈文教授及裴偉士教授於二零零五年共同研發「人類呼吸道外植體培養系統」,旨在為尋找以實驗室為本的方法研究嚴重呼吸道病毒感染,同時亦能更真實地反映疾病的機制及用於治療人類時的成效。
外植體培養系統在獲得道德許可的情況下,利用瑪麗醫院丟棄的呼吸道組織作研究。經過八個多月的優化後,系統獲世界衛生組織列為研究動物流感病毒感染大流行風險評估的模型,同時亦被生物技術公司用於評估潛在的抗病毒化合物。食物及衛生局以及大學教育資助委員會研究資助局提供的資金亦使該系統得以開發、優化和維持。
儘管香港至今尚未受中東呼吸綜合症影響,該病毒在中東地區已引發嚴重問題,並引致高達39%的死亡率。由於病毒與嚴重急性呼吸系統綜合症(SARS)病毒有關,中東呼吸綜合症已被世界衛生組織列為對全球公共衞生具重大威脅之一的疾病。這項研究結果將作為基礎,協助進一步評估這種新式治療策略可否應用於中東呼吸綜合症的人類臨床測試。
研究團隊
是項研究由香港大學病理學系臨床醫學教授黎國思教授及公共衞生學院助理教授陳志偉博士領導。研究團隊還包括:公共衞生學院的博士生李鴻陞先生、助理教授(研究)許珮茵博士及譚華正基金教授裴偉士(JSM Peiris)講座教授。
傳媒查詢
請聯絡香港大學李嘉誠醫學院(電郵︰medkefa@hku.hk )。
如欲瀏覽新聞圖片,請登入以下網址:http://www.med.hku.hk/news/ 。

